Realízate USG de Abdomen Integral y te Regalo un ECG (Promoción limitada) Agendar cita.
Colposcopía
y
Papanicolaou
Tu tranquilidad es nuestra prioridad:
Check-up Ginecológico Integral.


El dúo perfecto para tu salud íntima:
La prevención es el acto de amor más grande hacia ti misma.
Papanicolau (La Muestra): "Recolectamos células de tu cuello uterino para analizar en laboratorio. Es vital para detectar cambios celulares invisibles antes de que se conviertan en un problema.
Colposcopía (La Visión): Usamos un microscopio especial de alta resolución que nos permite 'ver' lo que el ojo humano no puede. Identificamos lesiones, verrugas o zonas sospechosas al instante.
¿Por qué realizar tu estudio con nosotros?
El Papanicolau analiza las células (nos dice qué pasa), mientras que la Colposcopía nos permite ver el tejido a gran aumento (nos dice dónde pasa). Al combinar ambos, elevamos la precisión del diagnóstico a un 95%, garantizando que no se nos escape ningún detalle.
¿Por qué realizamos Papanicolau + Colposcopía juntos?
✅ Diagnóstico Visual en Pantalla:
Aquí no ocultamos nada. Proyectamos el estudio en una pantalla HD en tiempo real para explicarte paso a paso lo que vemos. Entenderás tu salud como nunca antes.
✅ Tecnología Láser CO2 Integrada:
Si detectamos una lesión por VPH o una verruga, no necesitas ir a otro lugar. Contamos con el equipo para tratarlo ahí mismo (vaporización Láser Co2) sin cirugía y con rápida recuperación.
✅ Trato Humano y Suave:
Sabemos que son estudios íntimos. Usamos instrumental adecuado y técnicas gentiles para minimizar cualquier molestia.
Realizamos tu Papanicolau y Colposcopía con tecnología óptica y digital de alta resolución, en un ambiente seguro, empático y profesional.





¿Cómo prepararte para tu cita?
✅ No estar menstruando (idealmente 5 días después de que finalizó el sangrado).
✅ Abstinencia sexual de 24 a 48 horas previas (recomendable no necesaria).
✅ No haber realizado duchas vaginales ni aplicado óvulos o cremas 48 horas antes.
✅ Llevar ropa cómoda (falda o vestido facilitan el proceso, aunque te daremos una bata desechable).
¿En que consiste la toma del Papanicolaou y la Colposcopía?
Te explicamos paso a paso:
Una vez que realizamos el interrogatorio y explicamos el procedimiento, te damos una bata estéril y/o desechable.
Solicitamos te coloques en posición ginecológica...
1.-
VALORACIÓN EXTERNA (vulva).


Iniciamos con respeto y cuidado.
Realizamos una inspección visual externa para descartar irritaciones, lesiones o verrugas visibles a simple vista en la zona vulvar, asegurando que todo esté sano antes de proceder.
2.-
INSERCIÓN DEL ESPEJO VAGINAL
Utilizamos espejos estériles y desechables.
Realizamos una técnica suave, comprobada con cientos de pacientes; con la cual minimizamos en gran medida las molestias, incluso hay pacientes que se asombran al no sentirlas.
Aplicamos agua lubricante sólo en caso necesario para facilitar la colocación, permitiéndonos visualizar el cuello uterino con la mínima molestia posible para ti.
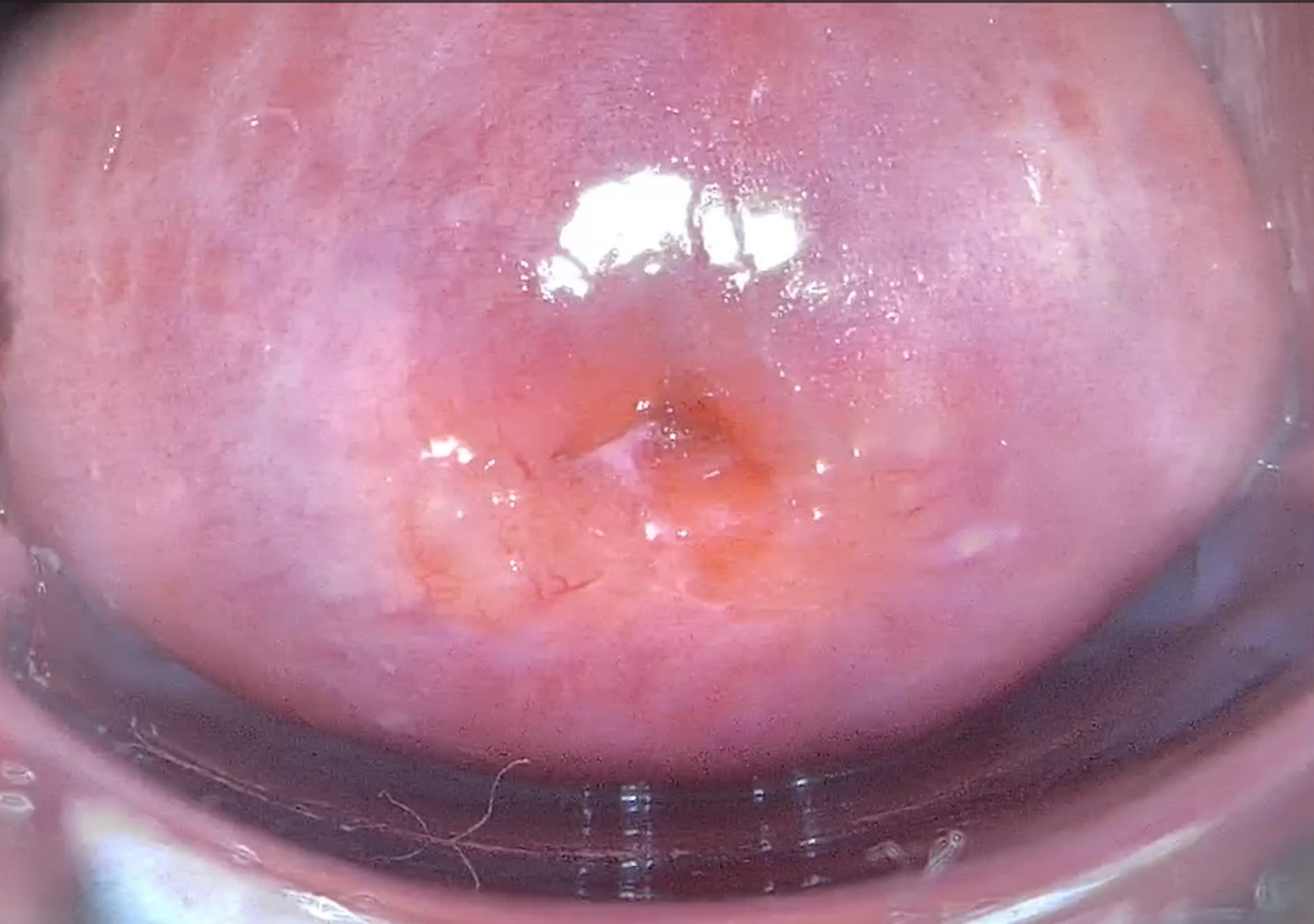
3.-
VALORACIÓN VAGINAL 360°


Revisamos las paredes vaginales por completo.
Giramos suavemente el espejo para verificar que no existan flujos anormales, inflamación o lesiones en las paredes laterales que a veces pasan desapercibidas.
4.-
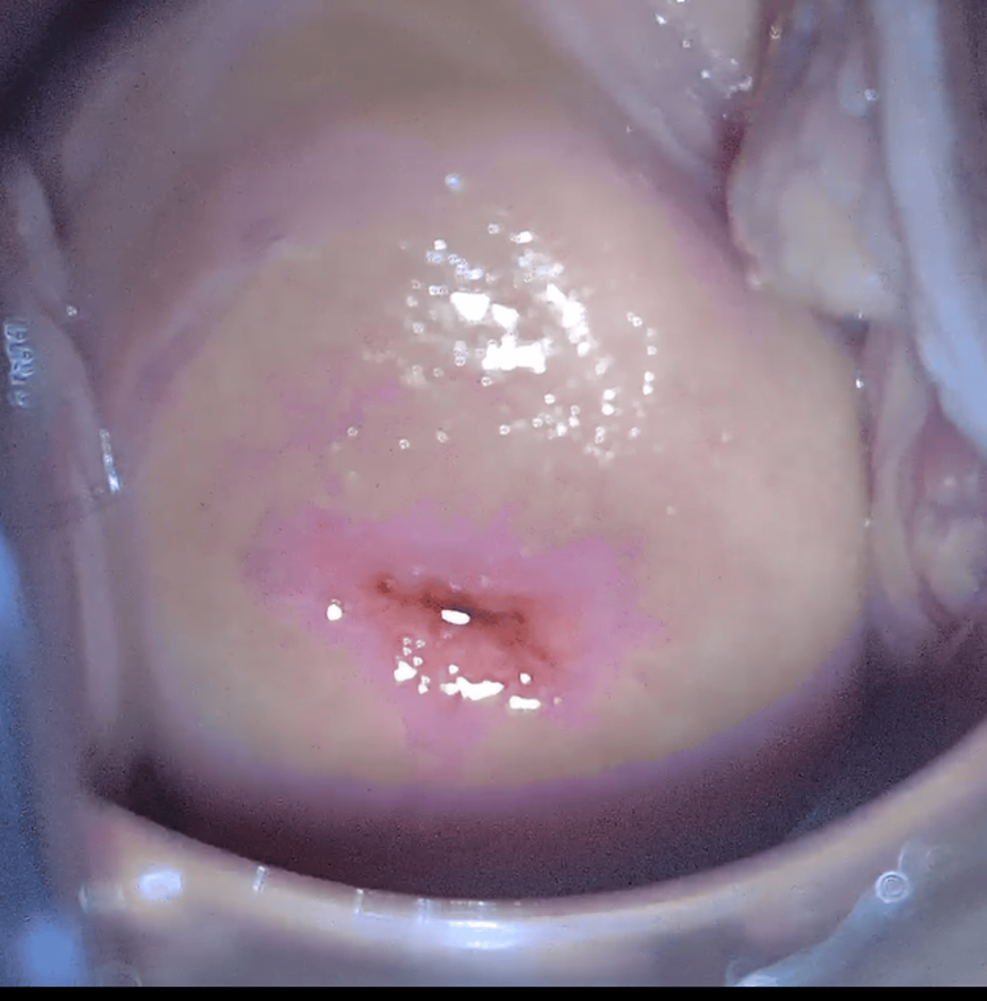
INSPECCIÓN DEL CÉRVIX




Localizamos tu cuello uterino.
Limpiamos suavemente el exceso de flujo para tener una visión clara y directa.
Aquí es donde conectamos el Colposcopio para que tú misma veas tu cérvix en la pantalla HD.
5.-
TOMA DEL PAPANICOLAOU




La toma de muestra clave.
Con un cepillo especial (citobrush), recolectamos células de la porción interna del canal cervical.
Con la espátula de Ayre modificada recolectamos células de la porción externa del canal cervical.
Es rápido (3 segundos) y vital para detectar alteraciones microscópicas antes de que sean un riesgo.
6.-
APLICACIÓN DE SOLUCIÓN FISIOLÓGICA



El primer filtro visual.
Aplicamos suero para limpiar el tejido y observar su vascularización (los vasitos sanguíneos).
Un patrón de vasos sanguíneos ordenado o la ausencia de ellos, es señal de salud.
7.-
FILTRO VERDE



Tecnología óptica.
Activamos una luz verde especial en el colposcopio que resalta los vasos sanguíneos.
Esto nos ayuda a detectar zonas con mayor irrigación que podrían sugerir una lesión oculta.
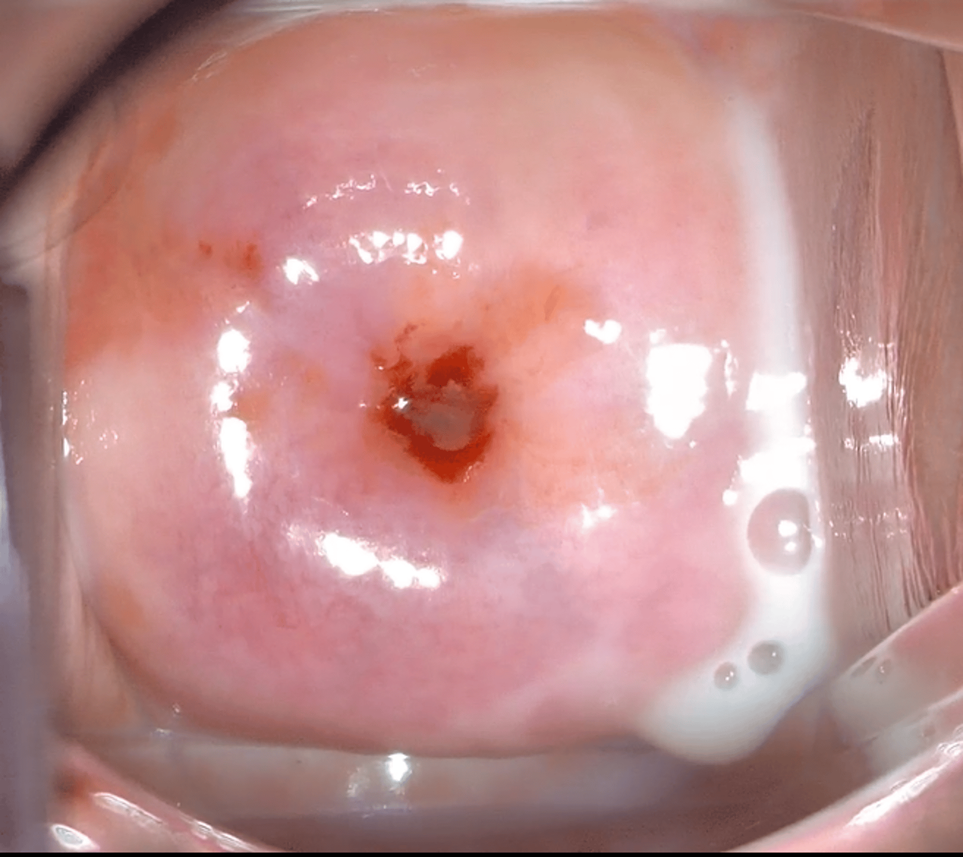
8.-
APLICACIÓN DE ACÉTICO



La prueba de reacción.
Aplicamos ácido acético diluido (el famoso olor a vinagre).
Si existen células infectadas por VPH o displasias, estas se tornan blancas (acetoblancas) al contacto, revelando su ubicación exacta.
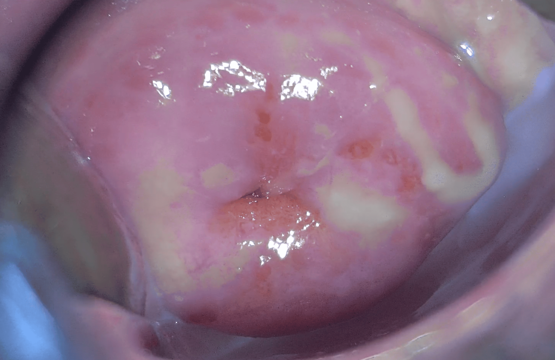
9.-
APLICACIÓN DE LUGOL



Confirmación final.
Aplicamos una solución de yodo.
El tejido sano se tiñe de color oscuro (caoba), mientras que el tejido enfermo o inflamado no absorbe el yodo y se queda claro (mostaza), confirmándonos dónde debemos poner atención.
10.-
RETIRO DEL ESPEJO
Y
TERMINAMOS EL PROCEDIMIENTO.
Finalizamos con suavidad.
Retiramos el espejo con cuidado y te permitimos vestirte en privado.
Luego, nos sentamos contigo, imprimimos las imágenes en papel fotográfico para explicarte tu diagnóstico colposcópico y entregarte tus resultados preliminares.
Preguntas Frecuentes:
Un diagnóstico de VPH no es el fin, es solo una señal para actuar.
Somos expertos en el manejo de lesiones mediante Vaporización con Láser CO2, el tratamiento más moderno que:
✅ Cicatriza mejor que la cirugía tradicional.
✅ Preserva la anatomía de tu cuello uterino (importante si quieres tener hijos después).
✅ Es ambulatorio y de rápida recuperación.
Somos Expertos en
Virus del Papiloma Humano
(VPH)
✅ ¿Duele?
A veces hay molestia o incomodidad, pero es completamente tolerable. Usamos técnicas comprobadas para minimizar la incomodidad.
✅ ¿Cuánto tarda?
El procedimiento en consultorio toma menos de 20 a 30 minutos.
✅¿Cuándo debo ir?
Una vez al año al iniciar tu vida sexual.
Preguntas Frecuentes:
Síguenos:
Ultrasonidos - dr. kerim
Referencia exacta para llegar sin complicaciones.
📍 Dirección:
Calle Antonia Nava de Catalán #8
Colonia Centro, Chilpancingo, Gro.
Nuestras Redes:


Nuestra atención se realiza en un entorno privado, seguro y profesional
📞 Llámanos directamente:
🕒 Horario de atención:
📍 ¿Dónde nos encontramos?
Conoce nuestro consultorio:
Nuestros Servicios:
Láser Co2. Dr. kerim
Lunes a viernes
Atención con cita previa.
Instalaciones reales, atención profesional y entorno cómodo.
Atención médica, estética y diagnóstica en un solo lugar.
© 2025 - Todos los Derechos Reservados.